Białystok Online

Zdrowie

Embrioskop – światowy przełom w monitorowaniu zarodków w Białymstoku

2014.01.24 00:00
Embrioskop – światowy przełom w monitorowaniu zarodków w Białymstoku
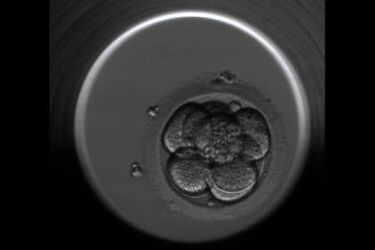
Fot: Klinika Leczenia Niepłodności "Bocian". Zdjęcie z Embrioskopu

Wykorzystanie embrioskopu w procedurze zapłodnienia in vitro może zwiększyć jego skuteczność nawet o 10%. Innowacyjna amerykańska technologia jest już dostępna w białostockiej Klinice Leczenia Niepłodności "Bocian".

Embrioskop to nowoczesny inkubator zarodków, wyposażony w zintegrowane, specjalistyczne kamery. Umożliwiają one ciągły monitoring zapłodnionych komórek. Innowacyjny sprzęt pozwala na kompleksową ocenę potencjału i rozwoju zarodków w czasie inkubacji przed transferem do macicy, bez narażania ich na działanie czynników zewnętrznych.

- Dzięki zastosowaniu embrioskopu możliwa jest dokładniejsza i bezpieczniejsza ocena oraz wybór najlepiej rokujących zarodków do transferu - mówi dr Grzegorz Mrugacz z Kliniki "Bocian" w Białymstoku - Pozwala to na znaczne zwiększenie skuteczności zabiegu zapłodnienia in vitro.

Po umieszczeniu zapłodnionych komórek w embrioskopie urządzenie wykonuje zdjęcia poszczególnych oocytów, zygot oraz zarodków z częstotliwością ok. 15 minut. System jest nieustannie kontrolowany przez komputer, gdzie zbierane są pliki ze zdjęciami. Embriolog obserwuje jedynie film poklatkowy złożony z sekwencji obrazów w komputerze. Na podstawie analizy ocenia aktualne cechy i tempo rozwoju zarodka, dynamikę podziałów komórkowych oraz czas ich trwania. Zastosowanie tego typu obserwacji jest pomocne w każdym przypadku, ze szczególnym naciskiem na pary, u których zapładniana jest większa ilość komórek, a ich inkubacja trwa do 5 dób.

Łukasz Wiśniewski

Łukasz Wiśniewski

lukasz.w@bialystokonline.pl

Przeczytaj także
Popularne dzisiaj

Masz ciekawy temat?

Wiesz, że zdarzyło się coś interesującego w Białymstoku lub okolicy? Chcesz abyśmy o czymś napisali?

Napisz do nas