POLECAMY
Podlaski Oddział Narodowego Funduszu Zdrowia podpisał kontrakt na badania rezonansem magnetycznym z NZOZ Kendron.
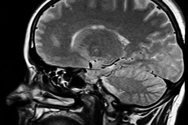
Kolejki na badania rezonansem magnetycznym są bardzo długie. Najbliższe wolne terminy sięgają grudnia 2015 roku. Poza Białymstokiem czeka się jeszcze dłużej. Podlascy pacjenci będą mogli teraz łatwiej dostać się na badania rezonansem magnetycznym. Narodowy Fundusz Zdrowia podpisał kontrakt z Niepublicznym Zakładem Opieki Zdrowotnej przy ul. Marjańskiego 3 w Białymstoku. Badania będą wykonywane w ramach ubezpieczenia. W NZOZ Kendron można wykonać m.in.: rezonans głowy, stawów, jamy brzusznej oraz mózgu.
Łukasz Wiśniewski
lukasz.w@bialystokonline.pl
Aktualności 2026.05.04 18:00
Kultura i Rozrywka 2026.05.04 17:00
Aktualności 2026.05.04 15:30
Kultura i Rozrywka 2026.05.04 14:00
Sport 2026.05.04 13:53
Kryminalne 2026.05.04 13:00
Zdrowie 2026.05.04 12:19
Masz ciekawy temat?
Wiesz, że zdarzyło się coś interesującego w Białymstoku lub okolicy? Chcesz abyśmy o czymś napisali?
Napisz do nas
Więcej informacji